智齿不痛,可以不拔吗?
口腔科医生经常会被问到这样一个问题:我的智齿没出现过疼痛,一定要拔除吗?关于智齿需不需要拔除,何时拔除才最合适,我们一起来听听口腔科专业医生的建议。
智齿,是人类的第三磨牙,一般在16岁之后长出,此时也是一般人心智成熟的时段,故称为“智齿”。造成智齿的原因是因为现代人食物精细,生长牙齿的牙槽骨退化,缺少智齿萌出的空间。
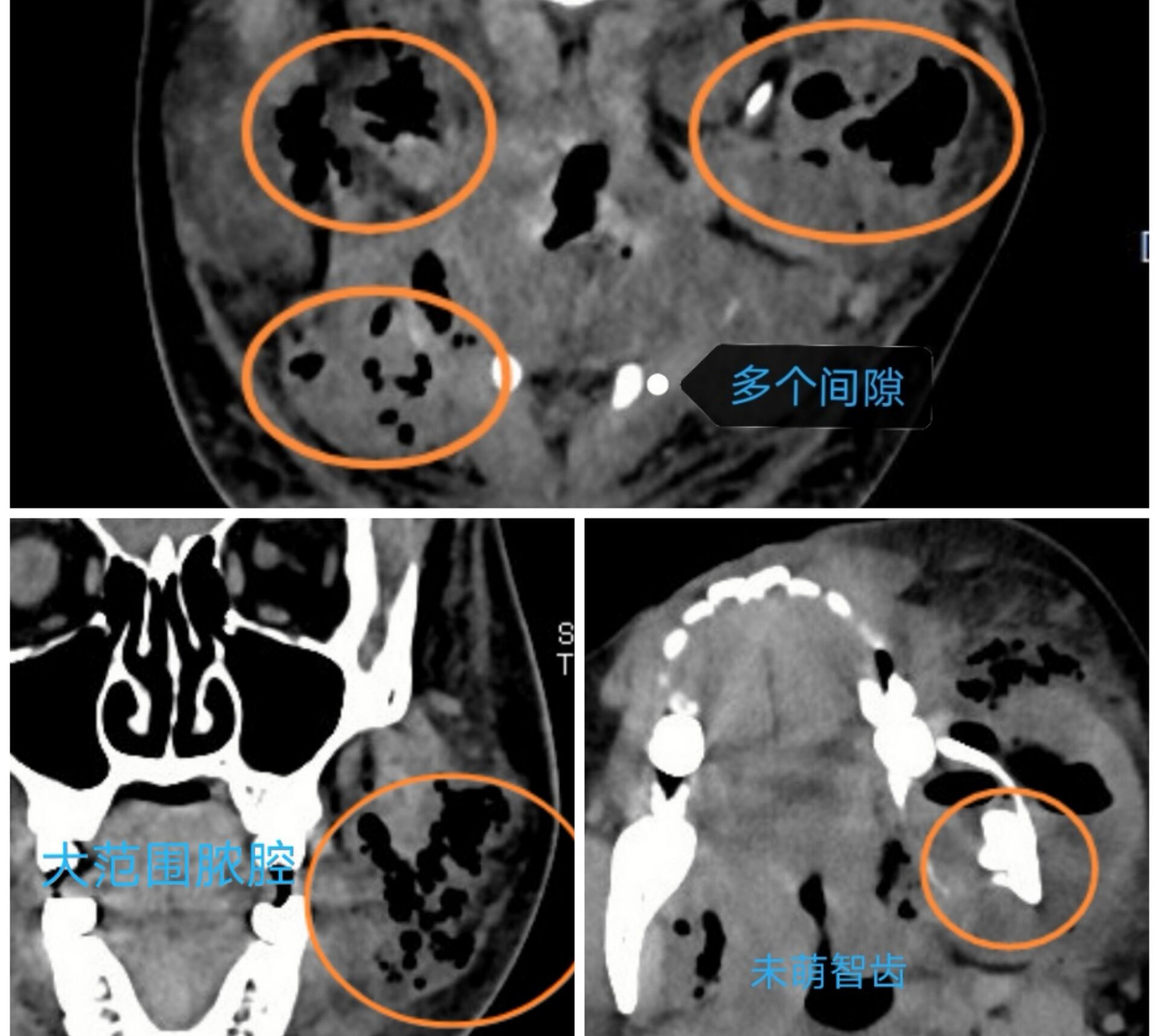
智齿容易引起感染,损害健康,甚至危及生命。如,一,冠周牙龈软组织引起的发炎。智齿萌出不全,部分牙龈覆盖,容易积存食物导致局部牙龈肿痛、化脓。这种情况尚属轻症,通过局部处理,口服抗生素即可恢复。冠周炎若治疗不及时,也有小部分会发展成邻间隙感染,此时症状严重,伴有发热、乏力等全身症状,只有通过手术才能治愈;二,龋坏智齿。细菌通过根管内牙髓组织,到达根尖区颌骨,引起感染。智齿牙根一般都比较深,尤其是牙根尖,感染继续扩散的话,就会造成颌面多间隙的感染,损害健康,危及生命。

病历一

病历二
那么,哪些智齿需要及时拔除呢?首先,反复引起冠周炎,智齿龋坏以及引起邻牙龋坏的智齿,造成可疑神经痛、颞下颌关节紊乱的智齿。其次,虽然无临床症状,防范于未然,需要预防性拔除的智齿:容易造成邻牙龋,一旦引起邻牙龋齿,增加痛苦;有引起颌骨囊肿形成趋势的智齿;引起牙列拥挤、不齐,正畸治疗需要;无对咬牙齿,属于无功能智齿,也要尽早拔除。此外,如果上下颌智齿均正常萌出,且达到良好咬合关系,可保留;埋伏智齿,不与口腔相通,尤其是与神经关系紧密者,可长期观察,但要定期复查。
什么时期拔除智齿最合适呢?目前倾向于早期拔除,年龄在15-30岁之间,此时颌骨弹性好,较容易拔除,超过30岁,颌骨变硬,拔除困难,损伤大,术后反应重,恢复慢。尤其是一些育龄期妇女,怀孕之前一定要解决掉智齿的问题,一旦怀孕期间或哺乳期出现疼痛,又不敢用药,增加了疼痛。
医生提醒,长了智齿不要怕,与传统的锤击相比,目前专科医师均是无痛、微创拔除,不遭罪,术后反应轻。关于智齿,最明智的做法是定期口腔检查,拍摄X线片,听取专业口腔医生的建议。
口腔科:李业强
审核:刘廷忠


